症例集
- ①歯周病治療
- ②歯周病治療(保険診療後自由診療)
- ③歯周病治療(局所再生療法)
- ④審美歯科(前歯部ジルコニア)
- ⑤審美歯科(前歯部ジルコニア・歯肉整形)
- ⑥審美歯科(前歯部ジルコニア・歯列修正)
- ⑦審美歯科(前歯部ジルコニア・歯肉移植・歯槽増大)
- ⑧前歯部インプラント治療(歯根破折)
- ⑨前歯部インプラント治療(打撲による歯冠破折)
- ⑩前歯部インプラント治療(虫歯による歯根吸収)
- ⑪前歯部インプラント&ジルコニア(歯根破折)
- ⑫サイナンスリフト
- ⑬ガイデットサージェリー(右上欠損及び歯槽骨非薄)
- ⑭ガイデットサージェリー(右上欠損及び歯槽骨非薄)
- ⑮ガイデットサージェリー(前顎に及ぶ歯槽骨非薄)
- 症例⑮ガイデッドライブオペ(オペ時間約3分)
①歯周病治療

歯周基本治療及び歯列不正の改善

術後3年経過(治療期間8ヶ月)

X線

②歯周病治療(保険診療後自由診療)

歯周基本治療後の小矯正治療

術後2年経過

X線

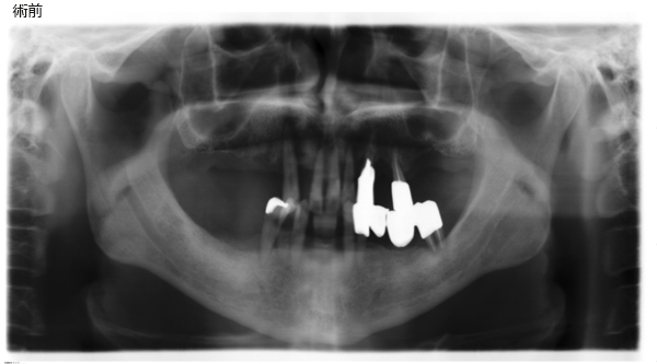
③歯周病治療(局所再生療法)




X線


④審美歯科(前歯部ジルコニア)

術中(形成・仮歯)


術後

⑤審美歯科(前歯部ジルコニア・歯肉整形)






⑥審美歯科(前歯部ジルコニア・歯列修正)




⑦審美歯科(前歯部ジルコニア・歯肉移植・歯槽増大)




⑧前歯部インプラント治療(歯根破折)


術中


術後12年


⑨前歯部インプラント治療(打撲による歯冠破折)
術前


術中




術後13年


⑩前歯部インプラント治療(虫歯による歯根吸収)








⑪前歯部インプラント&ジルコニア(歯根破折)






⑫サイナンスリフト



術後3ヶ月

術後10年

⑬ガイデットサージェリー(右上欠損及び歯槽骨非薄)


ノーベルガイドCTシュミレーション、


術後3年上部ジルコニアクラウン


⑭ガイデットサージェリー(右上欠損及び歯槽骨非薄)


サージカルガイド製作のためのラジオグラフィックガイドによるCT撮影



術後3年上部ジルコニア


⑮ガイデットサージェリー(前顎に及ぶ歯槽骨非薄)



症例⑮ガイデッドライブオペ(オペ時間約3分)
標準的な小臼歯部インプラントオペレーションビデオ
標準的なインプラントオペ(上顎小臼歯)(オペ時間30分)
























